At Smile Midtown, our patients’ success speaks for us. Read our patient’s real success stories of total transformation, from full mouth reconstruction to improved confidence from dental implants. Smile Midtown provides excellent service that turns dental problems into success stories.
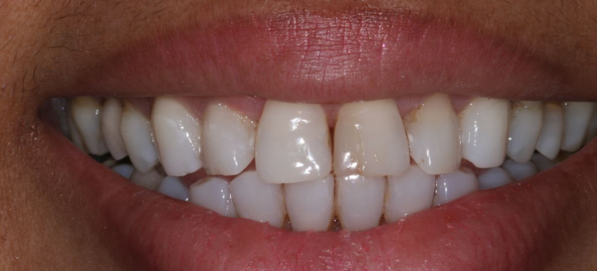
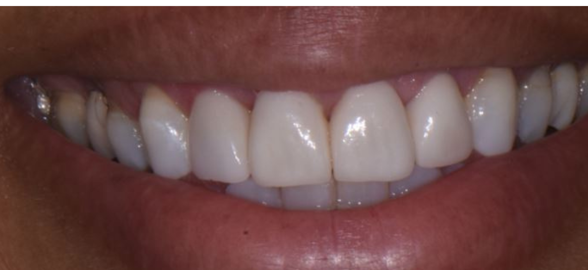
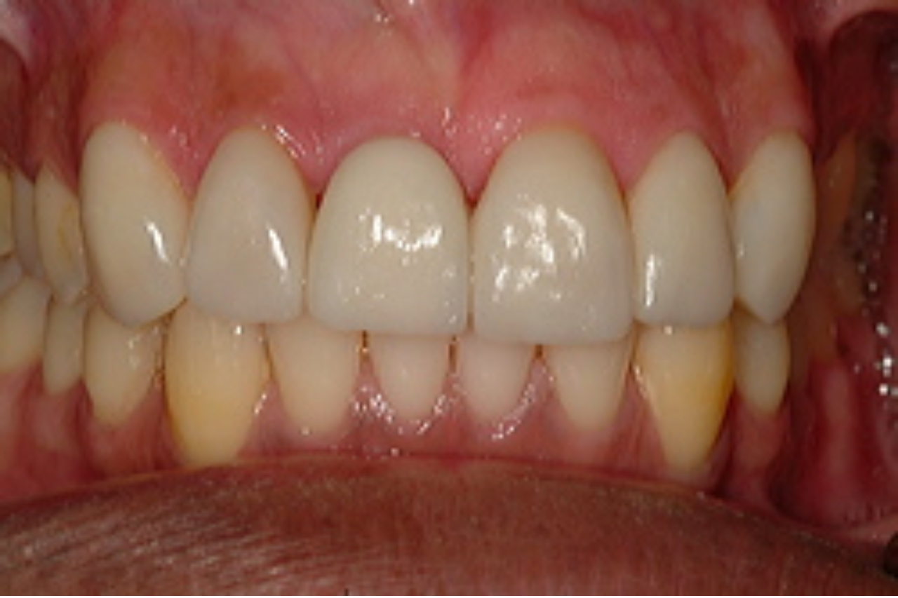
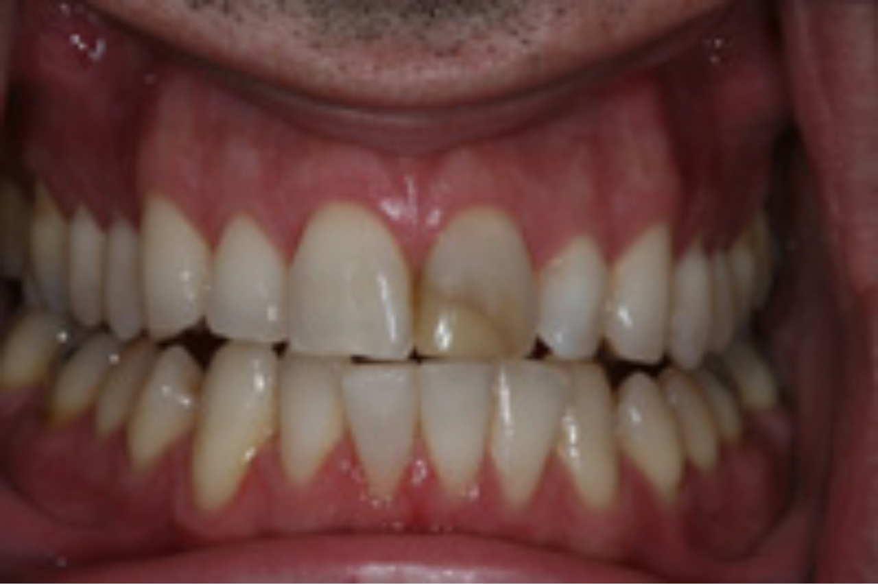
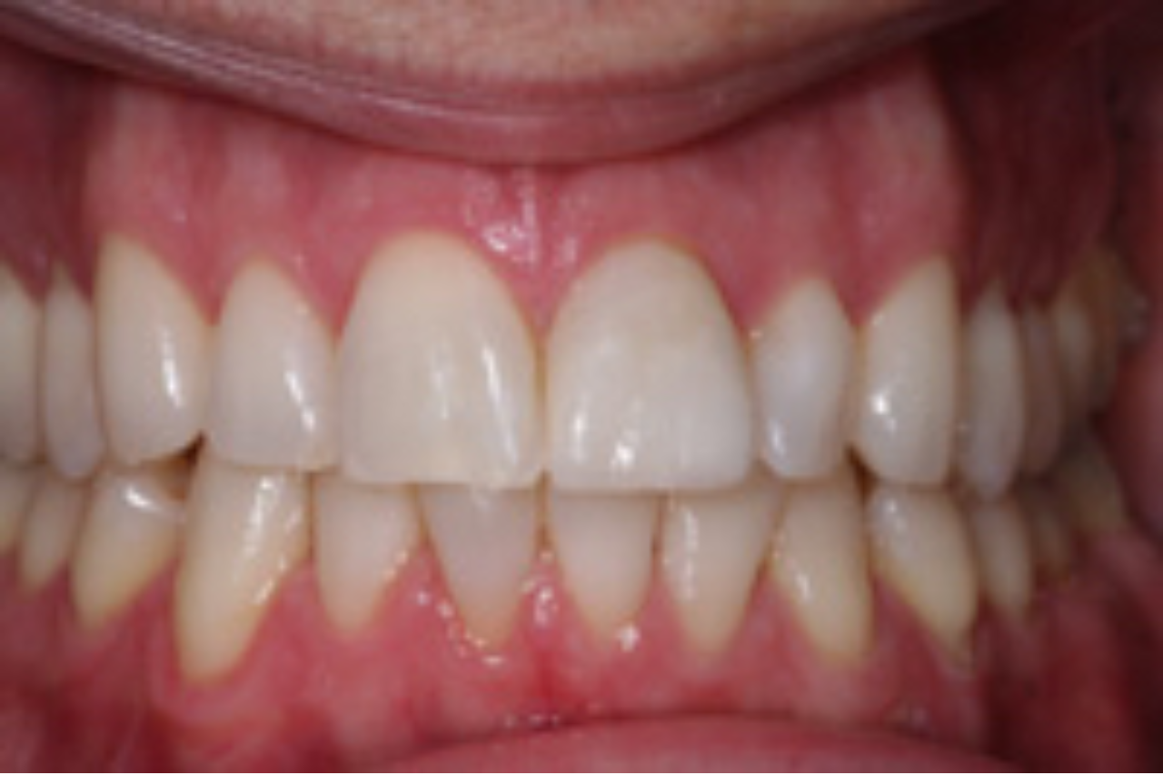
Veneers Create a Perfect New Smile


Dr. Shuster worked to create a beautiful new smile.
A Smile Restored With Dental Implants
Patient had severely damaged teeth and required implant dentistry services. Dr. Smith restored her smile with the highest quality dental implants Atlanta has to offer! This is only a small sample of what Dr. Jeffrey M. Smith, Dr. Casey J. Shuster, and their team of the best dentists in Atlanta can do for you. Contact our Smile Midtown office for a consultation.
Patient Lost All Teeth – Smile Restored with Implants
Patient lost all of his teeth and they were replaced with implants. His bite was totally collapsed. He was way over closed. We had to open his bite. Smile Restored!
Dental Implant to Replace Lost Tooth
An implant so good the patient can’t tell which is which!
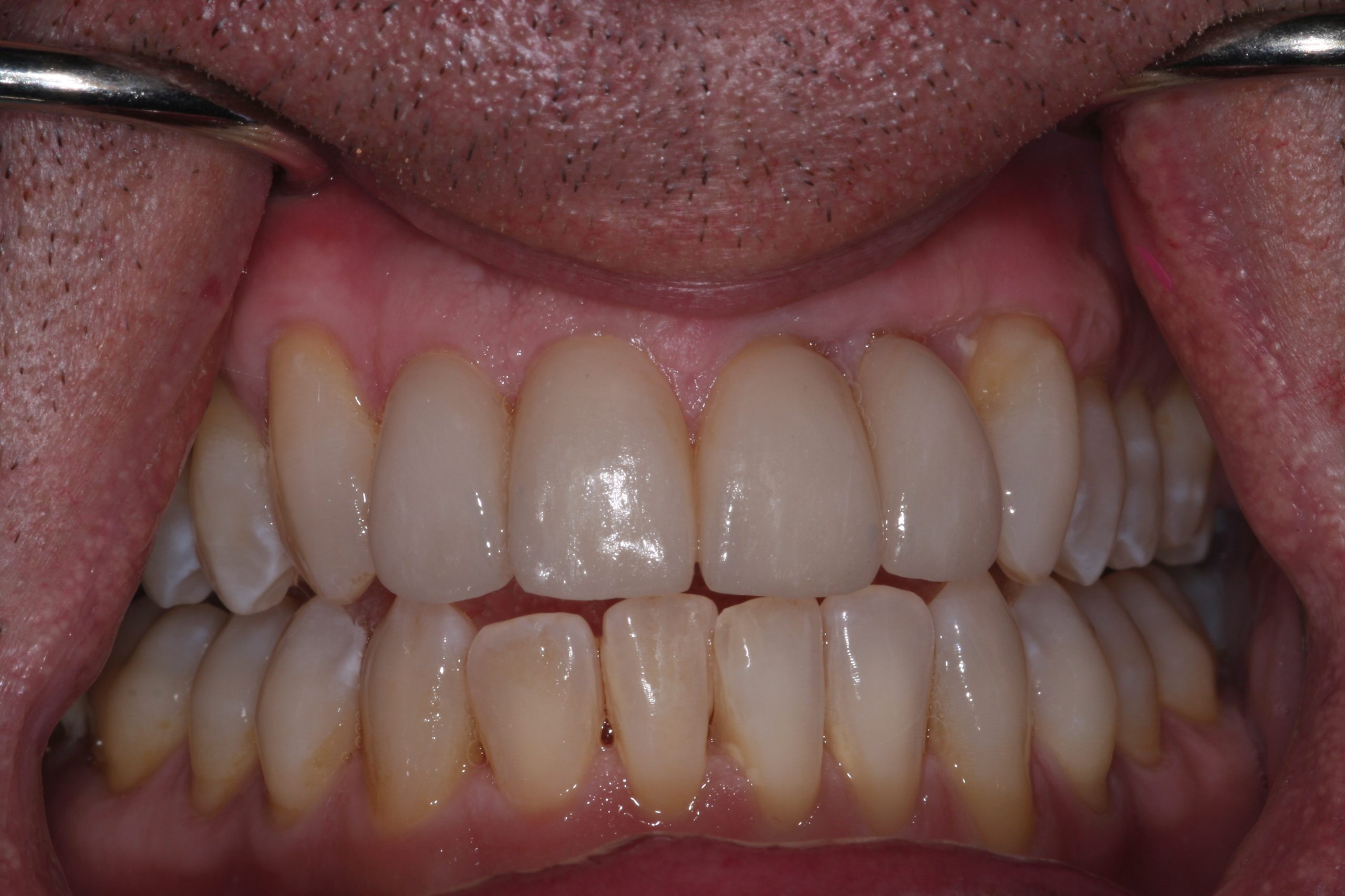
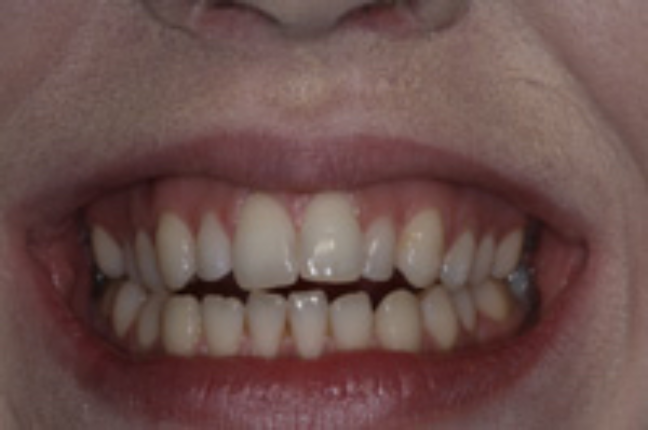
Crowns and Veneers for a Beautiful Smile


4 Veneers and a Brand New Smile


6 Veneers and a brand new smile
Bobby Cox’s New and Improved Smile
The umpires are impressed by Bobby Cox’s enhanced smile.
Lower Teeth Get Veneers
Lower teeth after porcelain veneers.
Porcelain Veneers Restore a Smile
From OK to a great smile with the help of a porcelain veneer.
Porcelain Crowns and a Veneer
Spaces are closed and teeth are white and bright.
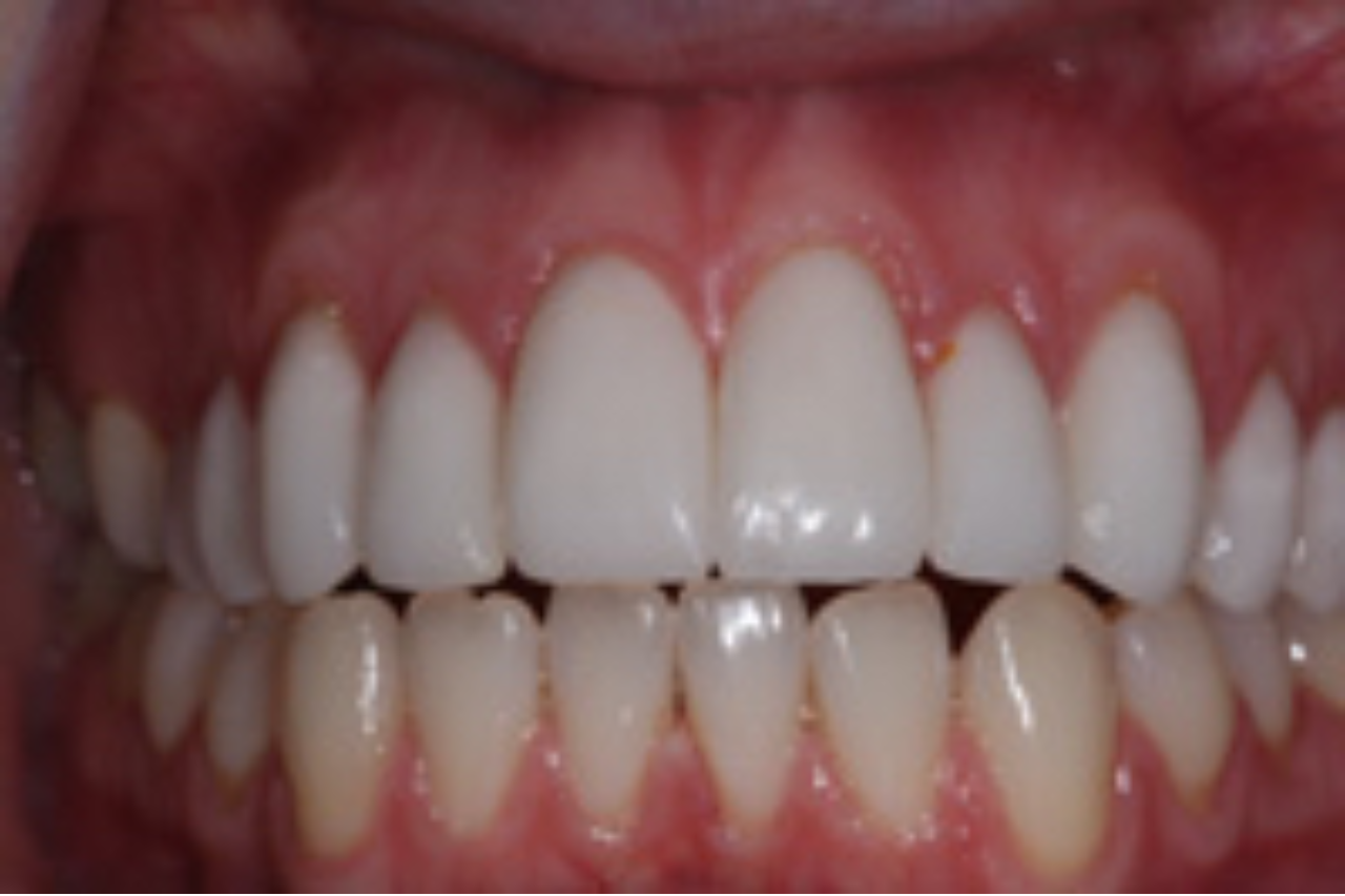
Porcelain Veneers Bring New Life to Teeth
Dr. Smith used veneers to restore worn out, discolored teeth. Result – beautiful new smile!
Porcelain Veneers and Tooth Replacement
A new smile with a new tooth.
Porcelain Veneers and a New Smile
Discolored and misaligned teeth repaired with porcelain veneers.
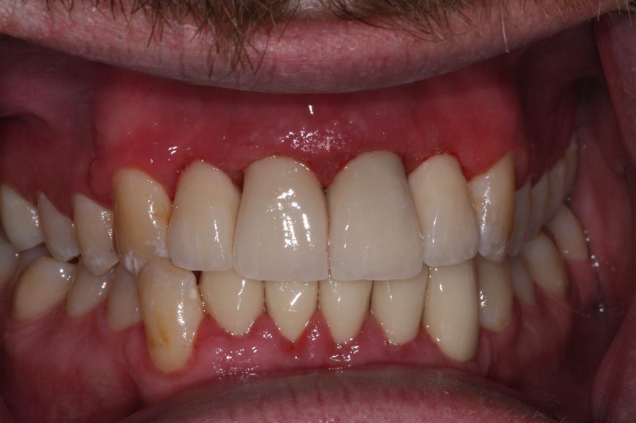
Restoration After an Accident
Broken teeth repaired with crowns.


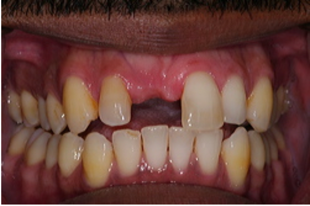
Closing a Gap With Veneers
Veneers are used to close a gap.
Dental Implant Helps Restore a Smile
Dr. Smith was able to give him a permanent implant and veneers – restoring his smile.


Veneer Used to Fix Broken Front Tooth
Dr. Smith uses a porcelain veneer to fix a broken front tooth.
6 Veneers and a New Smile
Six porcelain veneers were used to create a new smile.


5 Veneers, a Crown and Gum Grafts
5 porcelain veneers along with a crown and gum graft makes for the perfect smile!
Onlay Used to Replace Amalgam Filling
No more silver filling. Dr. Smith uses onlay to replace filling.
Onlay Used to Repair Broken Tooth
Dr. Smith used an Onlay to repair this broken tooth.
7 Dental Implants Restore a Smile
Patient lost all upper teeth. Dr. Smith was able to rebuild his patient’s smile with the addition of 7 implants

Gum Treatment and Veneers
Four porcelain veneers and a gum treatment were used to create a new smile. The gum treatment was used to make the teeth next to the front ones the correct length. Ortho tx was used to evenly space the teeth while four veneers completed the smile.
4 Veneers After Gum Treatment
Dr. Smith helped create a great new smile using veneers and a gum treatment


Missing Teeth Restored With Implants
Dr. Smith used implants to restore this smile.


Tooth Size Corrected With Gum Treatment and 10 Veneers
Dr. Smith improved this smile with a gum treatment and 10 veneers.


Porcelain Veneer Used to Replace Old Bonding
Dr. Smith used a single porcelain veneer to restore this smile.


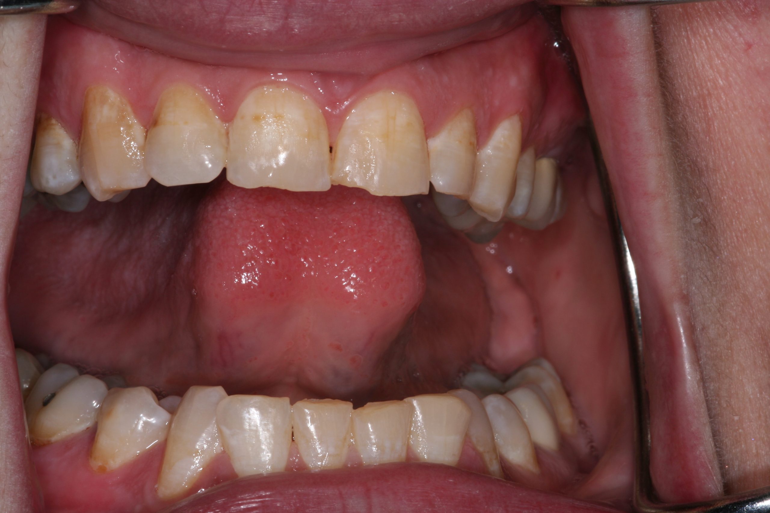
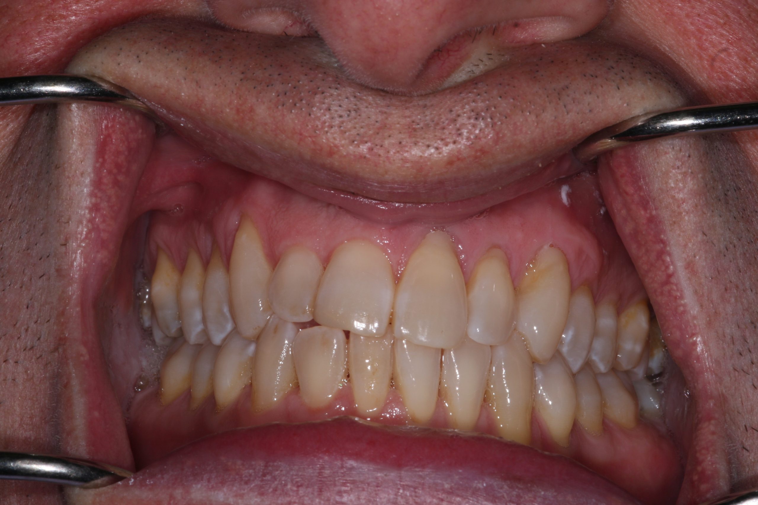
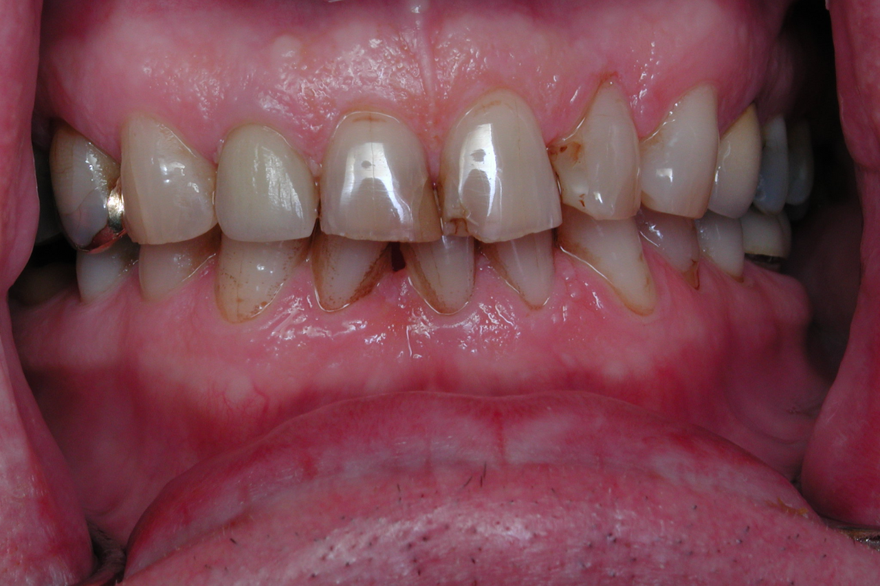
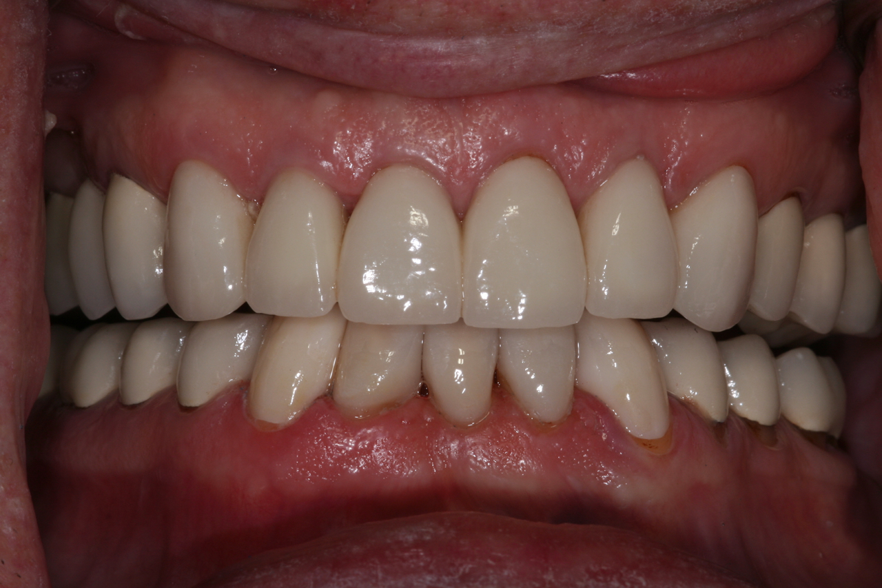
Total Smile Restoration With Crowns and Porcelain Veneers
Teeth were totally worn down. Dr. Smith was able to restore this smile using crowns and veneers.


Restoring a Smile After a Skiing Accident
Several teeth were lost in a skiing accident. Dr. Smith used dental implants along with porcelain veneers on adjecent teeth to restore a smile!
One Porcelain Veneer to Restore a Discolored Tooth
Dr. Smith used a single porcelain veneer to restore this discolored tooth.
This is only a small sample of what Dr. Jeffrey M. Smith can do for you. Contact his office for a Consultation.




